Services
Comprehensive Care for Every Stage of Life
Our Service
Complete & Compassionate Dental Care
We offer a wide range of dental solutions to keep your smile healthy and confident. With modern equipment, personalized care, and expert hands, we ensure you feel at ease every step of the way.

What We Offer
Advanced Healthcare Solutions for Your Well-being


Get back your confident smile with strong, natural-looking implants designed for lasting comfort and durability.


Say goodbye to toothaches with advanced pain-free root canal therapy that restores your tooth’s health and function.


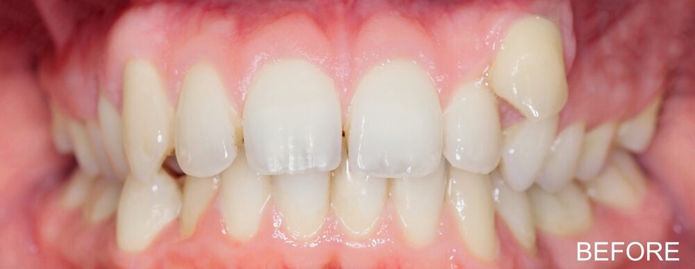
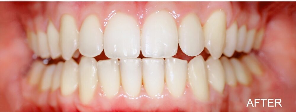
Restore your smile with thin, custom-made shells that cover imperfections and enhance your teeth’s natural beauty.


Brighten your smile with safe, effective whitening treatments that bring back your natural sparkle.


Repair cavities and restore your tooth’s natural look with durable, tooth-colored fillings that blend seamlessly.


Treat gum disease and restore healthy gums with precise, pain-managed surgical care for lasting oral health.


Restore damaged or missing teeth with strong, natural-looking crowns and bridges for a confident smile.


Transform your smile with a customized blend of cosmetic procedures — where artistry meets dentistry.


Gentle surgical extraction of problematic wisdom teeth with minimal discomfort and fast recovery.


Straighten your teeth and improve bite alignment with braces and clear aligners customized for all ages.


Straighten your teeth discreetly with clear, comfortable aligners designed for a confident smile.


Advanced care that treats jaw joint disorders (TMJ), facial pain, and bite issues by focusing on muscle-joint harmony.


Gentle and fun dental care for kids - building healthy smiles from the very first tooth.


Correct jaw alignment and enhance facial symmetry with expert surgical care tailored to your aesthetic and functional needs.
Fast and Easy Appointments, Care Designed for You.
Luctus semper venenatis efficitur mollis massa mi praesent aliquet egestas laoreet tincidunt letius auctor vulputate placerat litora nec phasellus hendrerit

Testimonials
Hear What Our Patients Are Saying
At Nathani’s Dental, patient satisfaction is our priority. Here’s what our happy patients have to say about their experiences with us.

Barkha Ladhani2024-07-27Trustindex verifies that the original source of the review is Google. I visited first time to a dentist it was amazing experience the way dr.handled my son amazing.... nitin ahuja2018-07-05Trustindex verifies that the original source of the review is Google. Visited this clinic for dental implants to assist an implant surgery. The sterilisation protocol is excellent and all the measures to take care of pain as well as comfort were very well taken care of. I would recommend dentofacial clinic for everyone who are looking for dental implants and dental treatment Palak Makhija2017-12-27Trustindex verifies that the original source of the review is Google. They use the latest technology available, Both the doctors are amazing 😊Google rating score: 5.0 of 5, based on 8 reviews